
Атрихія з папульозом
Як уникнути НЕ потрібного лікування?
Бойчук Тетяна Романівна
Головний лікар спеціалізованої дерматологічної клініки Люкс Скін
Україна
CASE REPORT
-
AGE / SEX 12 років
-
COMPLAINTS на відсутність росту волосся на шкірі голови та кінцівках, наявність висипань
-
ANAMNESIS Зі слів батьків, при народженні було наявне пушкове волосся. З віком кількість волосся зменшувалась. Супутні хвороби – заперечують. Зміни з боку опорно-рухового апарату – відсутні. Не одноразово проходила курс мезотерапіі, протиглисних препаратів, місцево стимулюючих засобів з відсутністю відповіді. Останніх два роки, за рекомендацією лікаря, наявні інʼєкції ГКС, прийом метотрексату та циклоспорину - без будь якого результату.
CLINICAL DATA / PHOTO

Клінічна картина атрихії з папульозними висипами. Шкіра голови практично повністю позбавлена волосся, з невеликою кількістю папул та гіпопігментованих білих смуг. Також видно рідкісні брови та вії.

Спостерігаються множинні папуло-вузлові елементи розміром 0.4-1,8 см, кольору шкіри, твердої консистенції на обличчі, верхніх та нижніх кінцівках
Трихоскопія

Під трихоскопом білі точки, гіпопігментовані смуги та пусті фолікулярні отвори формують візерунок мішеней — концентричний орнамент атрофованих фолікулів і кератотичних папул.
Цей феномен відображає поєднання втрати фолікулярної архітектури з ремоделюванням епідермісу, що створює мікроморфологічний “відбиток” атрихії з папульозом (Atrichia with Papular Lesions (APL))
Дерматоскопія кератинових папул

Клінічна картина атрихії з папульозними висипами. Шкіра голови практично повністю позбавлена волосся, з невеликою кількістю папул та гіпопігментованих білих смуг. Також видно рідкісні брови та вії.
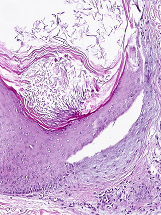
PATHOHISTOLOGY

При дослідженні зразка №1 (шкіра голови): відсутні волосяні фолікули на більшій частині зразка №1, але збережені поодинокі волосяні фолікули та мініатюризовані сальні залози


Зразки № 2, 3, 4, 5 (з різних частин тіла) мають відносно гомологічну структуру. Епідерміс без патологічних змін. У товщі дерми є кістозні порожнини, подібні до епідермальних кіст. Стінки кістозних утворень представлені багатошаровим епітелієм. Навколо частини порожнин – муциноз та неспецифічне запалення, подібне до реакції на чужорідне тіло.


-
Загальний аналіз крові, біохімічний аналіз крові (печінкові та ниркові проби) були не зміненими.
-
Рівні вітаміну 25-гідроксивітамін D, 25-(OH)D) 32 [нормальний: 30-70 нг/мл) та рівень паратгормону, виміряні за допомогою хемілюмінесцентного аналізу, становив 21 (нормальний: 18,5-88 пг/мл).
-
Змін зі сторони ендокринної системи, шлунково-кишкового тракту – не виявлено.
-
Рентгенограма зап'ястного суглоба без змін.

-
Було проведено диференційований діагноз універсальної форми гніздової алопеції та вітамін D-залежного рахіту.
-
Під час трихоскопії виявлено білі точки, гіпопігментовані смуги та пусті фолікулярні отвори, що формують візерунок мішеней — концентричний орнамент атрофованих фолікулів і кератотичних папул.
-
Біопсія з папули над тулубом виявила багато заповнених кератином кіст
-
Біопсія зі шкіри голови показала відсутність терминальних фолікулів з збереженням кількох велусних фолікулів у середній дермі.
-
На основі клінічних та гістопатологічних висновків був поставлений діагноз APL.

Лікування атрихії з папульозом на сьогоднішній день не існує
INFORMATION BLOCK / DISCUSSION
Атрихія з папульозними ураженнями - рідкісне аутосомно-рецесивне фолікулярне захворювання, викликане мутацією гена Hairless (HR), що характеризується раннім початком повної втрати волосся з подальшою появою папульозних уражень на тулубі та кінцівках.
Гістологія показує інфундибулярну частину волосяних фолікулів, але середня і нижня частини замінені ороговілими кістами. Основний розлад в APL знаходиться ближче до кінця анагенової фази волосяної цибулини. Проксимальна внутрішня і зовнішня оболонка фолікулу зазнає передчасного масивного апоптозу і розпадається на клітинні кластери, втрачаючи контакт з дермальним сосочком
Злотогорський та співавтори запропонували діагностичні критерії для APL:
Основні критерії (4 з 5, необхідних для діагностики):
1.Постійна і повна відсутність волосся на шкірі голови до перших кількох місяців життя.
2.Наявність поширених гладких, білуватих або міліоподібних папул різного розміру, на обличчі, шкірі голови, руках, ліктях, стегнах або колінах з дитинства.
3.Заміна зрілих структур волосяних фолікулів фолікулярними кістами, наповненими ороговілим матеріалом.
4.Мутація в HR гені під час генетичного тестування.
5.Клінічне та/або молекулярне виключення вітаміну D-залежного рахіту.
Незначні критерії (додаткові критерії):
• Сімейний анамнез спорідненості
• Відсутність вторинного росту пахвових, лобкових або волосся на тілі та/або рідких брів і вій
• Нормальний ріст і розвиток, включаючи кістки, зуби, нігті та пітливість
• Білуваті гіпопігментовані смуги на шкірі голови
• Відсутність реакції на будь-яку модальність лікування
CONCLUSIONS / TAKE HOME MESSAGE
-
Це рідкісний розлад, який зазвичай неправильно діагностується як універсальна форма гніздової алопеції, стійка до лікування та іноді не діагностується та неправильно лікується стероїдами чи іншими імуносупресивними препаратами з додатковими побічними ефектами.
-
Вчасно поставлений вірний діагноз запобігає непотрібному лікуванню та порушенню психоемоційного стану у звʼязку із відсутністю відповіді на лікування
-
Leona YI P1, Li ran HOREV2. , Rodney SINCLAIR1 and Abraham ZLOTOgORSki 2. 1Skin and Cancer Foundation of Victoria and the Department of Dermatology, St Vincent’s Hospital Melbourne, Victoria, Australia, and 2Department of Dermatology, Hadassah - HebrewUniversity Medical Center and the Center for Genetic Diseases of the Skin and Hair, Jerusalem, Israel
-
Atrichia with Papular Lesions Resulting fromNovel Compound Heterozygous Mutations in the Human Hairless Gene Eleni Michailidis, M. P. H. , D. D. S. , * Amy Theos, M. D. , Abraham Zlotogorski , M.D.,à Amal i a Mart i nez-Mir, Ph. D. , § and Angela M. Christiano, Ph. D. , §
-
Clinical and Molecular Diagnostic Criteria of Congenital Atrichia with Papular Lesions1/Abraham Zlotogorski , Andrei A. Panteleyev, B Vincent M. Aita, B and Angela M. ChristianoB Department of Dermatology, Hadassah Medical Center, Jerusalem, Israel ; BDepartments of Dermatology and Genetics & Development , Columbia University, New York, New York, U. S. A.
-
Atrichia with Papular Lesions Manish Bansal , Kajal Manchanda Sachin Lamba SS Pandey Author information Copyright and License information MCI D: PMC3250007 PMI D: 22223974


















